Common Treatments

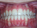
Crowding of the teeth

crowding of the teeth beforeBefore
crowding of the teeth afterAfter

This patient started treatment at age 12  for severe crowding and transposed teeth (some teeth had switched from the correct position.) She a wore braces for 20 months resulting in a bite that is not crowded, works better, and looks amazing. She loves her beautiful,  new smile.


Open bite - Front teeth don't touch

open bite beforeBefore
open bite afterAfter

Patient sucked his thumb as a young child, resulting in front teeth that don't touch. He started treatment at age 13 which allowed for the treatment of the underlying bones structure WITHOUT surgery. He was treated with braces and a special implants in order to fix his bite. Now his bite functions better, is more comfortable, and will last a lifetime.


Deep overbite - Lower front teeth bite into palate

deep overbite beforeBefore
deep overbite afterAfter

This adult patient, age 25, required braces and jaw surgery to correct his severe overbite, with treatment taking two years. His problem could have been corrected without surgery if he had been treated before he was a teenager.


Missing lateral incisors

missing lateral incisors beforeBefore
missing lateral incisors afterAfter

This patient's lateral incisors were congenitally missing. She had braces for 20 months to move the teeth into their correct positions, then the missing teeth were replaced with bonded "Maryland" bridges.


Underbite - Lower front teeth in front of upper teeth

underbite beforeBefore
underbite afterAfter

Patient's underbite was causing her jaw joint discomfort and excessive wear patterns on her teeth. After about 30 months of treatment starting at age 32, she now finds smiling and chewing much easier.


Spacing of teeth

spacing of teeth beforeBefore
spacing of teeth afterAfter

Patient was bothered by the spaces between his teeth. Braces closed the spaces and gave him an ideal bite in 24 months. Special glued-in retainers help keep the spaces closed.


Overjet - Protruding front teeth

overjet beforeBefore
overjet afterAfter

At age ten, patient had a big overjet with the top teeth protruding beyond the bottom. She had two phases of treatment. The first helped her jaws to grow more harmoniously and the second aligned her teeth and bite. At age 13, she was proudly displaying her new smile.


Non-braces treatment

non braces treatment beforeBefore
non braces treatment afterAfter

Sometimes braces are not needed to get noticeable improvements in tooth alignment. This patient was first seen at age seven for crowding of the lower permanent teeth. A procedure was performed to reduce the width of the adjacent baby teeth and the permanent incisors aligned on their own in nine months.


Phase-One

phase 1 beforeBefore
phase 1 afterAfter

Patient's parents were concerned about both aesthetics and the health of the erupting permanent teeth when they brought him to the orthodontist at age eight. The lower front teeth were crowded and touching the palate, and the upper front teeth were extremely displaced from their normal positions. After 12 months of Phase-One treatment with an expander and partial braces, patient's appearance and dental function were vastly improved.


Crowded with hypertrophic gingiva

beforeBefore
afterAfter

This patient was treated for significant crowding and overgrown gums. After 18 short months, not only was her bite fully corrected, but her overgrown gum tissue was reshaped and enhanced to showcase her beautiful smile.


Crossbite

beforeBefore
afterAfter

Although crossbites can be corrected at all ages, they are more easily and less likely to require surgery if detected and treated early. This patient’s crossbite and crowding were corrected gently and non-surgically in just over a year and a half. Not only does she look amazing, her bite now functions in a healthier way making it easier for her to eat, making her less susceptible to TMJ issues, and significantly prolonging the life her teeth.

 

Laser correction of hypertrophic gingiva

beforeBefore
afterAfter

At times, a person will present with gum tissue (gingiva) that is overgrown, unnecessarily hiding the full length of the crowns of their teeth. This patient received a quick, comfortable procedure performed with a dental laser to fully uncover and reveal the their full, natural tooth shape significantly enhancing their smile.

 

HomeMeet UsNew PatientsTreatmentsBracesContactPatient LoginSite Map

sesame communicationsWebsite Powered by Sesame 24-7™ Back to top